Bite Improvement Sydney

When many teeth are missing or wear has occurred, bite changes occur. This is where our prosthodontic treatment can improve the bite so people can chew comfortably.

 

How Sydney Dental Specialists can help you

Our aim is to provide you with the results which best suit you and your facial structure. And since every patient presents with their own set of symptoms we work with our team to create the treatment plan tailored for you.

What is a bad bite, and why do you want it treated?

Bad bite, or malocclusion, is the misalignment of teeth and jaws, and can cause dental and general health problems.

Tooth problems

A bad bite can also cause problems with your facial muscles as well as joint and bone problems.

Muscle problems

Bone problems

Joint problems

 

Orthognathic surgery and what it can do for you

More commonly known as corrective jaw surgery, orthognathic surgery is used to correct minor and major skeletal and dental irregularities, including misaligned teeth and jaws. This procedure can only be carried out by an oral and maxillofacial surgeon, and at Sydney Dental Specialists we work with 3 oral surgeons to ensure our patients receive the best quality of care.

The benefit of this surgery is it can improve breathing, chewing and speaking.

When you visit Sydney Dental Specialists one of our prosthodontists will assess your oral health, take x-rays and determine the best way to proceed with treatment. Having a multi-disciplined team at our disposal allows us to provide you with the best care.

If you would like to learn more, or to book an appointment, please contact us today.

Case Studies

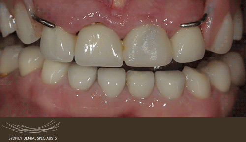
Case Study 1 - Bite Improvement


  • The teeth were worn, several had been extracted and the denture required unsightly clasps to hold it in place.
  • The remaining upper teeth were removed and replaced with implants and a fixed bridge (single procedure).
  • After healing, this was refined and strengthened to provide this beautiful fixed aesthetic implant supported tooth replacement.
  • This meant that the bite was rested and chewing was just like natural teeth.

Look at me!

Case Study 2 - Bite Improvement


  • The teeth here were irregularly worn and some back teeth were lost.
  • The bite was rebuilt at the back using a combination of crowns and implants, and the front teeth were made to look much more even in colour.
  • The patient was very happy with the appearance of her new teeth and the ability to chew more comfortably.

Look at me!

Case Study 3 - Bite Improvement


  • Following some severe illness and compromise of the immune system, this patient suffered from severe gum disease resulting in loss of teeth and poor position of the front teeth.These were heavily restored and mobile. By removing the teeth and placing implants in the one procedure, a fixed bridge was provided in each jaw.
  • After healing these were converted to ceramic bridges to provide the lovely appearance and excellence function.
  • Being ceramic, the bridges were smooth and designed for ease of cleaning.

Look at me!

Case Study 4 - Bite Improvement


  • This young man had a high decay rate that had resulted in decay, fracture and loss of many teeth.
  • This was holding him back at work and he wanted to fix the teeth properly.
  • With a combination of implants crowns veneers and bonding, the smile and function were restored. He is really happy with his new appearance.

Look at me!

Contact us today

To find out how Sydney Dental Specialists can help you, contact us today