Smile Improvement Sydney

When many teeth are damaged or worn, significant changes can occur in the face and smile. Reconstructing teeth with crowns, veneers and bonding can not only improve the smile, but help with restoring facial aesthetics.

Sydney Dental Specialists offer a range of aesthetic dentistry treatments to help whiten discoloured teeth

Treating discoloured teeth first requires assessing your oral health. Your teeth can be discoloured extrinsically (the enamel is stained) or intrinsically (inner structure of the tooth—dentin—is stained).

Extrinsic stains are caused by:

If the reason for the stain is extrinsic, cosmetic dental treatments like teeth whitening, dental bonding and dental veneers can be used to improve the appearance of your smile. If your teeth are discoloured and have minor chips, cracks and imperfections a combination of teeth whitening and bonding or teeth whitening and dental veneers is an effective treatment solution.

Bonding and veneers are two different treatments which achieve similar results. The state of your oral health and your desired aesthetic outcome will play a role in determining which of these two treatments will be used.

Extrinsic stains are caused by health factors such as:

The treatment process for this can be more involved with some patients requiring dental crowns, porcelain veneers as well as teeth whitening.

The process involves teeth whitening first to get your natural teeth to the desired shade and colour. This is done first because porcelain restorations are not affected by bleaching agents used in teeth whitening. Once the teeth whitening treatment has been performed, we will then start to place the required porcelain restorations.

When you visit Sydney Dental Specialists for your initial consultation, we will assess your oral health and discuss with you, your available options. If you would like to know more about how we can help you, or to book an appointment, please contact us today.

Case Studies

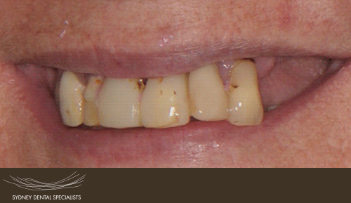
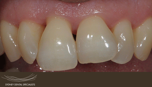
Case Study 1 - Smile Improvement


  • The teeth here were irregularly worn and some back teeth were lost.
  • The bite was rebuilt at the back using a combination of crowns and implants, and the front teeth were made to look much more even in colour.
  • The patient was very happy with the appearance of her new teeth and the ability to chew more comfortably.

Look at me!

Case Study 2 - Smile Improvement


  • This young man had lateral incisor teeth that did not form properly.
  • With modern materials and techniques, bonded ceramics could be placed without concern for changes that can occur with growth and affect traditional crowns.
  • These are beautiful and long-lasting Emax restorations.

Look at me!

Case Study 3 - Smile Improvement


  • Following some severe illness and compromise of the immune system, this patient suffered from severe gum disease resulting in loss of teeth and poor position of the front teeth. These were heavily restored and mobile.
  • By removing the teeth and placing implants in the one procedure, a fixed bridge was provided in each jaw.
  • After healing these were converted to ceramic bridges to provide the lovely appearance and excellence function.
  • Being ceramic, the bridges were smooth and designed for ease of cleaning.

Look at me!

Case Study 4 - Smile Improvement


Look at me!

Case Study 5 - Smile Improvement


Look at me!

Case Study 6 - Smile Improvement


Look at me!

Case Study 7 - Smile Improvement


The final smile says it all! Our patient was more than pleased with the natural outcome.


Look at me!

Case Study 8 - Smile Improvement


Our patient disliked her metal and ceramic crowns.

The gums were purple and swollen and the colour didn’t match.

New all ceramic crowns made all the difference.


Look at me!

Contact us today

To find out how Sydney Dental Specialists can help you, contact us today